www.tictoc.es

Salud

Hablamos de: Penfigoide Cicatricial

Hablamos de: Penfigoide Cicatricial

martes 25 de noviembre de 2014, 01:31h

Escucha la noticia

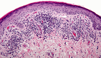
Los penfigoides corresponden a un grupo especial de enfermedades autolnmunes caracterizadas por la formación de vesículas y ampollas subepldérmicas o submucosas causadas por la síntesis de autoantlcuerpos contra elementos de la membrana basal de epidermis o mucosas.

¿Quieres leer el artículo al completo? Accede a nuestro quiosco, desde donde podrás ver nuestra revista, navegar por nuestra hemeroteca y descargarte los números que quieras desde tu dispositivo Android, Apple o en nuestra biblioteca de Amazon. Descubre una nueva forma de acceder a los contenidos de Hora Punta, gratis y desde cualquier soporte digital. ¡No lo dudes y haz click aquí!


¿Te ha parecido interesante esta noticia?    Si (0)    No(0)

+
0 comentarios